ABSTRACT
ABSTRACT
Limbal stem cell deficiency develops when corneal epithelial stem cells become dysfunctional or deficient. This deficiency leads to neovascularization of the corneal surface, persistent epithelial defects, scarring, and decreased vision. Simple limbal epithelial transplant is a relatively new technique to address limbal stem cell deficiency. Here, we describe a male patient with chemical ocular burn injury in his left eye that resulted in diagnosis of unilateral limbal stem cell deficiency. The patient was successfully treated with simple limbal epithelial transplant.
KEY WORDS: Burn injury, Limbal stem cell transplant, Visual acuity
INTRODUCTION
When corneal epithelial stem cells become dysfunctional or deficient, limbal stem cell deficiency (LSCD) develops.1 Limbal stem cell deficiency leads to neovascularization of the corneal surface, persistent epithelial defects, scarring, and decreased vision. Simple limbal epithelial transplant (SLET) is a relatively new technique for addressing LSCD.2 Limbal tissue from a patient’s healthy eye is transplanted onto an amniotic membrane attached to the surface of the diseased eye, where the tissue can expand in vivo.3 Here, we describe a patient with unilateral limbal stem cell deficiency who was treated with SLET.
CASE REPORT
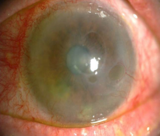
A 78-year-old male patient was admitted to our clinic with blurred vision and conjunctival hyperemia in his left eye. The patient had a chemical eye injury 2 years ago and received medical treatment in a different ophthalmology clinic. At the end of the medical treatment period, his vision had decreased, and the patient noted symptoms of stinging and hyperemia in the affected eye. Upon examination, it was observed that the inflammation was inactive; however, a vascularized pannus covered the entire corneal periphery, indicating corneal LSCD, resulting in decreased visual acuity (Figure 1). The patient was diagnosed as LSCD secondary to chemical burn injury, and SLET from the healthy contralateral eye was performed.
A 2 × 2-mm strip of donor limbal tissue was obtained from the healthy eye and divided into 8 to 10 small pieces. After surgical preparation of the recipient’s ocular surface by superficial keratectomy and pannus excision, the tiny limbal transplant pieces were distributed evenly and attached with the use of fibrin tissue adhesive over an amniotic membrane placed on the cornea (Figure 2).
At the fourth postoperative week, a completely epithelialized, avascular, and stable corneal surface was observed (Figure 3). Stability had been maintained at the 9-month follow-up (Figure 4). Best-corrected Snellen visual acuity improved from 0.5 to 0.9.
DISCUSSION
Simple limbal epithelial transplant is a relatively new limbal cell surgical technique that requires less donor tissue than previously used for conventional autografting and does not need a specialist laboratory for cell expansion. Simple limbal epithelial transplant was first described in 2012 by Sangwan and colleagues4 for the treatment of unilateral total LSCD. For this procedure, a small biopsy (at the 1 o’clock position) of limbal donor tissue taken from the patient’s healthy contralateral eye. Tissue is divided into multiple small pieces and planted on an amniotic membrane glued over the denuded recipient cornea. Because little tissue is taken from the donor eye, the risk of iatrogenic LSCD is greatly minimized. The technique is performed in a single step without the need for ex vivo expansion of limbal stem cells; thus, SLET is more cost-effective than transplant of ex vivo–cultivated limbal stem cells.
The SLET procedure has been mostly performed for treatment of chemical burn-induced LSCD. The success rate in the largest series reported to date is 76%.5 The outcomes of SLET and the transplant of ex vivo–cultivated autologous limbal stem cells have not been directly compared, and the mean follow-up after SLET was 2 years in all studies. Therefore, the ideal patient population for these 2 therapies requires further clear determination, and more data on long-term outcomes of SLET are needed. A single-center analysis of 125 cases of autologous SLET for unilateral LSCD demonstrated a 76% success rate and a 75% two-line improvement in visual acuity with a median follow-up of 1.5 years.5 Similarly, a multicenter analysis of 68 cases of autologous SLET for unilateral LSCD demonstrated an 84% success rate and a 65% two-line improvement in visual acuity with a median follow-up of 1 year.6
CONCLUSIONS
Simple limbal epithelial transplant is an easy and effective technique for treatment of unilateral LSCD; the technique has shown success in patients with mild to moderate LSCD.
REFERENCES

Volume : 4
Issue : 3
Pages : 58 - 60
From the 1Department of Ophthalmology and the 2Department of General Surgery and Burn and Fire Disaster Institute, Baskent University Faculty of Medicine, Ankara, Turkey
Acknowledgements: The authors have not received any funding or grants in support of the presented research or for the preparation of this work and have no declarations of potential conflicts of interest.
Corresponding author: Leyla Asena, Fevzi Cakmak cad. 10. Sok No:45 Bahcelievler Çankaya, Ankara, Türkiye
E-mail: leylaerk@yahoo.com
Figure 1. Preoperative Anterior Segment
Figure 2. Postoperative Anterior Segment at Day 1
Figure 3. Postoperative Anterior Segment at Month 1
Figure 4. Postoperative Anterior Segment at Month 9