ABSTRACT
Ogilvie syndrome is an acute colonic dilation of a previously healthy colon, without any organic obstruction. Pathological circumstances, such as burns, opiates, and antipsychotic medication, have been identified as predisposing elements. The incidence in the evolution of burn patients varies between 0.2% and 1%. The purpose of our study was to describe its development in 2 patients with large burns who were treated at our national burn center. Our patients had the following clinical characteristics: extensive abdominal bloating, constipation, hyperleukocytosis, confusion, and increased intra-abdominal pressure, which have the potential for development of multiorgan dysfunction. Abdominal tomographies showed massive colonic dilation without mechanical obstacles. Successful results were achieved after colonoscopic deflation. Thus, we have described conservative treatments (neostigmine, polyethylene glycol, rectal catheter), colonoscopies, and the indications for eventual surgery.
KEY WORDS: Abdominal hypertension, Colonic dilation, Colonoscopy
CASE REPORT
This report describes 2 patients who were diagnosed with Ogilvie syndrome. Both were men (age 50 and 74 years ) with no related medical history, although 1 patient previously received antipsychotic medications for 4 years. Both patients had large burns, with body surface areas of burn of between 45% and 60%, and both had diagnoses of inhalation injury. Mean hospitalization in our burn center’s critical care unit was 3 months (range, 45-130 days).
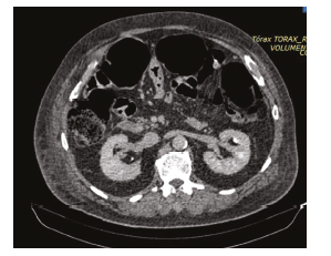
Both patients presented with large abdominal distention, bloating, and constipation. One patient developed a confusional state with hypoactive delirium. Both presented with gastric residuals. Intra-abdominal pressure (IAP) results showed hypertensive values in 1 patient and abdominal compartment syndrome in the other patient. Both required vasopressors to achieve an abdominal perfusion pressure of >60 mm Hg. Laboratory investigations showed hyperleukocytosis, elevated C-reactive protein, and kidney injury (Kidney Disease Improving Global Outcomes [KDIGO] score of 1). Abdominal radiographies showed large distention of the colon. Abdomen tomographies showed dilation of the colon, but there was no evidence of any obstruction or edema of the wall of the colon (Figure 1). The diameter of the cecum was 11 cm in 1 patient and 9 cm in the other (Figure 2). Rectal examinations did not reveal any matter inside. Intravenous neostigmine treatment was started at a dose of 2.5 mg, with both patients requiring continuous infusion at 0.3 mg/hour, which was maintained for an average of 16 hours, achieving reinstatement of the intestinal transit.
Both patients required degravitation colonoscopy with aspiration due to abdominal hypertension, with the procedure reaching the ascending colon in 1 patient and reaching the hepatic angle in the other patient. Both patients received polyethylene glycol (17 g), and a rectal catheter was placed, which was maintained for 2 days with washes with 30 cm3 of isotonic chlorinated solution every 6 hours to keep it permeable. With this treatment, both patients resumed their intestinal transit, with reinstatement of enteral feeding, and did not present new complications of the abdominal sphere during their hospitalization.
DISCUSSION
Ogilvie syndrome, first described in 1948, is an acute pseudo-obstruction of the colon. It consists of dilation of a part or all of the colon and rectum without intrinsic obstruction or extrinsic inflammatory process. It is not caused by distal mechanical obstruction, ischemic or inflammatory colitis, or toxic megacolon. It has a high mortality rate of almost 50%, which is associated with perforation of the distended colon and multiorgan diffusion. The incidence is 100 in 100 000 patients, affecting more men, predominantly in those >60 years of age.1 Incidence is 0.06% after cardiac surgery, 0.29% to 1% after large burns, and 0.7% after trauma surgery.2,3 The etiopathogenesis of Ogilvie syndrome has not yet been fully clarified, but it appears to have multiple factors: autonomic denervation and vascular, hormonal, pharmacological, metabolic, and infectious theories. The 3 most frequent theories of origin are discussed here.
Autonomic denervation theory
In 1948, Ogilvie postulated that the syndrome was caused by an alteration of the autonomic innervation of the colon.4 Sympathetic innervation exerts an inhibitory effect on motility. Parasympathetic innervation plays an excitatory role. Acute colonic dilation is a consequence of decreased parasympathetic activity originating in the sacral plexus (S2, S3, S4), resulting in distal colonic atony.5
Vascular theory
The vascular theory proposes that a decrease in splanchnic perfusion (hypovolemia, mesenteric vascular disease) leads to hypoperfusion that is more severe at the border between the superior and inferior mesenteric arterial circulation (Griffiths zone), which corresponds to the typical point of splenic flexion.
Pharmacological theory
The pharmacological theory considers that neurotropic drugs with anticholinergic effects and colonic toxic drugs can lead to Ogilvie syndrome, with the most important listed in Table 1.
Clinical presentation of Ogilvie syndrome
The presence of rectal distention on digital examination along with distention of the colon is evidence of megacolon.6 The presence of an inflammatory syndrome (fever, leukocytosis, and elevated C-reactive protein) or signs of peritoneal irritation should lead to suspicion of colonic perforation (Table 2).6 Favorable situations for development of Ogilvie syndrome are listed in Table 3.In Ogilvie syndrome, significant colonic gaseous distention can generate a syndrome of intra-abdominal hypertension. When IAP is >12 mm Hg or when it evolves to abdominal compartment syndrome (when IAP is >20 mm Hg), organ failure may occur, which is shown in 4.2% of critical patients.7 It is essential to maintain abdominal perfusion pressure (mean arterial pressure minus IAP) at >60 mm Hg, which improves survival.
Paraclinical diagnosis
Abdominal radiography will show evidence of colonic dilation. An abdominal computed tomography is the most advanced diagnostic test, with a sensitivity of 96% and a specificity of 93%. This scan can confirm proximal colonic dilation and can exclude the presence of intrinsic or extrinsic mechanical obstruction. The megacolon generally begins at the level of the cecum and the right colon and extends distally to a point of size change, the so-called cutoff or transition point.8
Maximum cecal diameter allowed
The main concern during conservative treatment is the risk of perforation of the colon, which has an incidence of 15% to 20% and a mortality rate of 40% to 50%. Although the maximum cecal limit is considered to be >9 cm, Vanek and associates6 considered the maximum tolerable cecal diameter to be 12 cm because more than one-fourth of patients beyond this limit will be perforated. By Laplace’s law, the intraluminal pressure necessary to stretch the wall of a hollow tube is inversely proportional to its radius, so the cecum is the place that suffers the most stress on its walls.
Treatment and results
Treatment for Ogilvie syndrome includes conservative treatment, pharmacological treatment, colono-endoscopic decompression, and surgery. Mortality rates range from 14% to 30% with nonsurgical treatment and from 30% to 50% with surgical treatment.
Conservative treatment consists of the following measures: (1) proximal gastrointestinal decompression (fasting, nasogastric suction); (2) placement of a decompressive rectal tube if the distention extends to the sigmoid or rectum; (3) correction of electrolyte disorders (hypokalemia and hypomagnesemia, hypochloremia, uremia); (4) discontinuation of medication with anticholinergic effects; (5) discontinuation of opiates; (6) discontinuation of neuroleptics, antidepressants, antiparkinsonians, and centrally acting alpha-adrenergic agents; and (7) postural measurements, with alternating lateral right or left positions. Because the risk of perforation can increase if there is a delay of more than 6 days, these measures should not continue for more than 3 days.
Pharmacological treatment includes neostigmine, a reversible cholinesterase inhibitor that restores parasympathetic blockage and restores colon motility. Using a continuous infusion pump of neostigmine at a rate of 0.4 to 0.8 mg/hour for 24 hours, Van der Spoel and associates found a success rate of 80%.9 Forms of administration include 2 to 2.5 mg intravenous boluses injected over 3 to 5 minutes, which results in colon motility in 20 to 30 minutes with 80% success. If no result is obtained within 3 hours, the second bolus of neostigmine can be administered.10-12 The administration of polyethylene glycol (17-gram sachets, dissolved in 240 mL of water) via enteral feeding could be another effective measure.
There are absolute contraindications for neostigmine, such as mechanical intestinal obstruction, colon perforation, and acute urinary retention in patients not probed. Relative contraindications for neostigmine include gastroduodenal ulcers, acute coronary syndromes, acidosis, asthma with bronchospasm, bradycardia, and treatment with beta-blockers.
The next treatment would be decompression fibrocolonoscopy. At this time, it is the treatment of choice if other medical treatments have not been successful and when neostigmine is contraindicated, as long as there is no suspicion of perforation. It is also used to detect ischemia of the colon that requires surgery. The perforation rate is 2%, and mortality rate is estimated as 1%.
According to SAGES (Society of American Gastrointestinal and Endoscopic Surgeons), degravitation colonoscopy can be performed within the following guidelines: (1) colon preparation is not required; (2) the patient must be sedated with benzodiazepines; (3) narcotics should be avoided; (4) the colonoscope can pass to the right colon in 85% of cases, but it is not necessary to reach the cecum; (5) if the hepatic flexure cannot be traversed, deflation from the transverse colon is usually sufficient; and (6) if the colon has an ischemic mucosa, it requires that the endoscopy be completed and converted into surgery. Per SAGES, successful endoscopic decompression is defined as a reduction in cecal diameter of at least 3 cm. The entire procedure requires between 45 and 60 minutes. Immediate success after the first procedure can range from 61% to 95%. The recurrence rate can be as high as 40%; for recurrence, it is advised to place a multiperforated drainage tube for 48 hours. This practice has been useful to prevent recurrences and must be washed every 4 to 6 hours to avoid obstructions by fecal residues.
Treatment with percutaneous tube cecostomy is considered the standard of care, with success rates of up to 95%. Complications related to stoma management, infection, and tube detachment have led to its loss of popularity. Recent investigations have suggested that current methods have led to a reduction in serious complications without sacrificing the success of the treatment modality. Tube cecostomy should be reviewed as an alternative to colostomy in the resolution of pseudo-obstruction of the colon refractory to a more conservative medical treatment. It is contraindicated in perforation peritonitis.13
CONCLUSIONS
This case report presented 2 patients with large burns who required high doses of opioids, resulting in evolution, among other factors (hemodynamic compromise, significant replacement volume in the initial stage), to development of Ogilvie syndrome. This syndrome was treated with a combination of pharmacological agents (neostigmine) and aspiration of gas by colonoscopy. Neither patient had intestinal ischemia, but both presented with cecum diameters with a risk of perforation. Both patients required rectal catheters, allowing transit to resume for a period of 48 hours.
REFERENCES

Volume : 1
Issue : 2
Pages : 71 - 74
From the National Burn Center, Clinic Hospital, University of the Republic, Montevideo, Uruguay
ACKNOWLEDGEMENTS: The author has not received any funding or grants in support of the presented research or for the preparation of this work and has no declarations of potential conflicts of interest
CORRESPONDING AUTHOR: Julio Cabrera, National Burn Center, Clinic Hospital, University of the Republic, Montevideo, Uruguay
E-mail: jcabrera@cenaque.org.uy
Figure 1. Abdominal Computed Tomography Scan Showing Great Distention of the Colon
Figure 2. Abdominal Computed Tomography Scan Showing the Cecum Distended and With Fecal Matter
Table 1. Colonic Toxic Drugs
Table 2. Symptoms and Signs of Suspected Colonic Perforation6
Table 3. Conditions That Favor Acute Colonic Pseudo-Obstruction